Osypka Herzzentrum
Beste Medizin für MünchenGefäßultraschall
Duplex-Sonographie: Hochauflösender Gefäßultraschall zur Früherkennung der Arteriosklerose
Was leistet der Gefäßultraschall?
Häufig ist ein Schlaganfall oder ein Herzinfarkt das erste Zeichen für einen Patienten, dass er an einer fortgeschrittenen Arteriosklerose leidet. Dabei lassen sich heute schon frühe Gefäßveränderungen mit hochauflösendem Ultraschall feststellen. Liegen weitere Risikofaktoren vor, kann es sinnvoll sein, schon früh mit einer Behandlung zu beginnen. Auch Änderungen im Lebensstil können Spätfolgen vermeiden helfen.
Die Duplex-Sonografie erlaubt die zeitgleiche Untersuchung von Gefäßwand und Blutfluss mittels Farb-Doppler. Farbkodiert kann hier die Geschwindigkeit des Blutes dargestellt werden. Mit dieser Methode können Engstellen, die zu einer Reduktion des Blutflusses führen, sicher detektiert werden. Mittels der Spectral-Doppler Technologie kann die Geschwindigkeit in der Engstelle und vor der Engstelle genau vermessen werden, so kann die prozentuale Verengung bestimmt werden.
Duplex-Sono: Blutfluss und Gefäßwand-Diagnostik
Online-Termin
Herzbildgebung (Echo, CT, MRT)
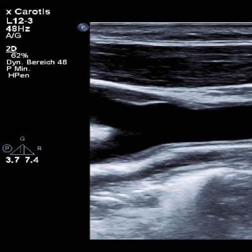
Bild: Duplex-Sonographie der Halsgefäße. Die Gefäßwand (links) und der Blutfluss (rechts) können zeitgleich dargestellt und untersucht werden
Arteriosklerose früh erkennen: Herzinfarkt und Schlaganfall Vorsorge
Der Schlaganfall oder der Herzinfarkt sind einschneidender Ereignisse. Viele Patienten wissen vorher nicht, dass sie an einer bereits fortgeschrittenen Arteriosklerose leiden. Symptome einer Gefäßverengung treten meist erst bei höhergradigen Engstellen (“Gefäßverkalkung”) auf. Infarkte treten aber häufig schon bei geringgradigen Engstellen (Plaques) auf. Wenn eine Plaque wächst, kann die Gefäßinnenhaut einreißen. Dann können sich Blutgerinnsel im Gefäß bilden, das Gefäß verstopfen und so einen Herzinfarkt oder einen Schlaganfall auslösen. Moderne Ultraschall-Systeme können solche Plaques (soft- Plaques) detektieren. Die Plaque-Früherkennung ist wichtig für die rechtzeitige Einleitung einer Therapie.
Bild: B-Mode Darstellung eines Halsgefäßes. Die Pfeile deuten auf eine kleine, beginnende Plaque.
“Weiche Plaques” im Ultraschall
Ganz früh sind die Gefäßerweiterbarkeit und die Elastizität des Gefäßes gestört. Es folgt die Einlagerung von Fetten (Cholesterin) in die Gefäßwand, dies führt zur Ausbildung sogenannter Plaques. Diese sind zunächst flach und engen das Gefäß nicht ein. Mittels der hochauflösenden Ultraschall-Technologie können aber auch schon solche nicht verkalkten Plaques frühzeitig erkannt werden. Als Plaque bezeichnet man eine Verdickung der Gefäßwand um mehr als 50 % der umgebenden Gefäßschwanzstrukturen oder auch eine Verdickung der Gefäßinnenwand um mehr als 1,5 mm. Eine exakte Vermessung der Plaque und auch die Beurteilung der Gesamt-Gefäßbelastung ist wichtig. Für die Steuerung der Therapie können diese Messungen im Verlauf verglichen werden. Am Osypka Herzzentrum stehen für diesen Zweck leistungsstarke Ultraschallgeräte der neusten Generation zur Verfügung.
Mit moderner Ultraschall-Technologie Plaques früh erkennen
Weitere Themen zur Arteriosklerose (Gefäßverkalkung)
Der Schlaganfall oder der Herzinfarkt sind einschneidender Ereignisse. Viele Patienten wissen vorher nicht, dass sie an einer bereits fortgeschrittenen Arteriosklerose leiden. Symptome einer Gefäßverengung treten meist erst bei höhergradigen Engstellen (“Gefäßverkalkung”) auf. Infarkte treten aber häufig schon bei geringgradigen Engstellen (Plaques) auf. Wenn eine Plaque wächst, kann die Gefäßinnenhaut einreißen. Dann können sich Blutgerinnsel im Gefäß bilden, das Gefäß verstopfen und so einen Herzinfarkt oder einen Schlaganfall auslösen. Moderne Ultraschall-Systeme können solche Plaques (soft- Plaques) detektieren. Die Plaque-Früherkennung ist wichtig für die rechtzeitige Einleitung einer Therapie.
Was ist Arteriosklerose?
Wie entsteht die Arteriosklerose? Wie wird sie frühzeitig erkannt und behandelt?
Herz-CT: Herzkatheter vermeiden
Die CT Technik kann in vielen Fällen den Herzkatheter vermeiden. In einigen Aspekten ist die Darstellung mit dem Computertomographen dem Katheter sogar überlegen
Vorsorge und Prävention am OHZ
Vorsorge am OHZ sind keine starren Programme. Wir gehen sehr individuell auf Ihr Risikoprofil und Ihre medizinische Vorgeschichte ein.
Zentrum für Herzbildgebung
Das Interdisziplinäre Zentrum für Herzbildgebung München. Konzept, Technik und Experten-Team
Unser Team
Am Osypka Herzzentrum werden Sie von international renommierten Spezialisten betreut. Unsere Untersucher verfügen über die höchste Qualifikation und sind bei den führenden Fachgesellschaften auf dem höchstmöglichen Level zertifiziert (DGK, DRG, DEGUM). Für weitere Fragen stehen wir selbstverständlich gerne zur Verfügung.

PD Dr. K. Tiemann
Chefarzt Kardiologie
Ihr Experte für Herzbildgebung, Herzklappen, Herzschwäche
♦ Kontakt

Prof. Dr. S. Ley
Chefarzt Radiologie
Ihr Experte für Herzbildgebung und Radiologische Diagnostik
♦ Kontakt

Tobias Götz
Oberarzt Kardiologie
Ihr Experte für Herzultraschall, Herz-CT und Herz-MRT
♦ Kontakt
Fragen und Antworten
Hier beantworten wir Ihre Fragen rund um den Gefäß-Ultraschall. Untersuchungsablauf, Technik, Risiken und Alternativ-Methoden. Für weitere Frückfragen sprechen Sie uns jederzeit persönlich an.
Leer, wird nicht angezeigt
Sinn: so bleibt der 1. sichtbare Eintrag geschlossen
Wichtig: Anmeldung, Termin und Vorbereitungen
Am Osypka Herzzentrum finden die Untersuchungen entspannt und in angenehmer Atmosphäre statt. Ihre Ärzte nehmen sich Zeit für Ihre Fragen und sind auch bei der Untersuchung immer in Ihrer Nähe. Anmeldungen zum Gefäß-Ultraschall sind jederzeit möglich. Bitte nutzen Sie – wenn möglich – unsere online Terminvereinbarung.
Wie läuft die Untersuchung ab, was muss ich beachten ?
Übernimmt meine Krankenkasse die Kosten ?
Die privaten Krankenkasse übernehmen die Untersuchungskosten auch für ambulante Untersuchungen. Für gesetzlich versicherte Patienten besteht in unserer Ambulanz leider nur die Möglichkeit, die Leistung als Selbstzahler in Anspruch zu nehmen.
Welche Risiken bestehen ? Gibt es Alternativen ?
Ultraschalluntersuchungen sind nach aktuellem Kenntnisstand unschädlich und erlauben in den meisten Fällen eine gute Einschätzung. Sollten gravierende Engstellen bestehen oder eine Behandlung geplant sein, sind ggf. weitere Untersuchungen (Herz-Echo, -CT) sinnvoll.
Im ersten Schritt sollte aber immer das unschädlichste Verfahren, also der Ultraschall, zum Einsatz kommen.






















